![]() |
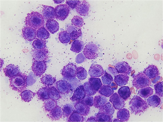
| Well differentiated MTC. Image Animal Health Publishing |
Knowing the grade is important to get an idea of a likely prognosis.
The problem with the classic grading system was, that you could get a different grading of the same tumor, depending on the pathologist.
Considering how important knowing the grade of the tumor is for treatment strategy and figuring out potential outcome, that is not so great.
This inspired a creation of a new, two-tiered system for grading mast cell tumors.
Based on studies done at Michigan State University, this system is simpler, and easier to use. This system recognizes only two grades, high-grade and low-grade.
This system is new and future will show whether it is better.
Meanwhile, it is important to realize that mast cell tumor grading isn't as exact as it should be, and getting a biopsy second opinion for most tumors is a good idea.
Source article:
All about Mast Cell Tumor Grade
Further reading:
Study Advances Mast Cell Tumor Grading System
Canine Mast Cell tumors – More Changes on the Horizon
Proposal of a 2-tier histologic grading system for canine cutaneous mast cell tumors to more accurately predict biological behavior
Canine mast cell tumours: the great pretender

Tidak ada komentar:
Posting Komentar